完成单位:星天地娱乐城官网
武汉物理与数学研究所
星天地娱乐城官网
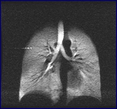
武汉物理与数学研究所研究员周欣、中科院院士叶朝辉带领的科研团队克服技术难关,研制出具有自主知识产权的人体肺部气体磁共振成像系统。该系统弥补了传统磁共振成像不能检测肺部空腔结构的缺陷,成功“点亮”人体肺部,且能同时获得肺部气气、气血交换的功能信息,成为肺癌等重大疾病早期科学研究和诊断的新利器。目前,该成果已转移转化成立产业化公司,且正在申请医疗器械注册证。2018年7月在同济医院建立了第一个肺部气体磁共振临床检测中心,用于大规模临床病例获取工作。

人体肺部气体磁共振成像系统


左:核心装置超极化气体发生器 右:我国首幅人体肺部气体磁共振成像图