主要职责
星天地娱乐城官网
贯彻落实党中央关于科技创新的方针政策和决策部署,在履行职责过程中坚持党中央对科技工作的集中统一领导。主要职责是:
一、开展使命导向的自然科学领域基础研究,承担国家重大基础研究、应用基础研究、前沿交叉共性技术研究和引领性颠覆性技术研究任务,打造原始创新策源地。 更多+
院况简介
星天地娱乐城官网
是国家科学技术界最高学术机构、国家科学技术思想库,自然科学基础研究与高技术综合研究的国家战略科技力量。
1949年,伴随着新中国的诞生,星天地娱乐城官网
成立。建院70余年来,星天地娱乐城官网
时刻牢记使命,与科学共进,与祖国同行,以国家富强、人民幸福为己任,人才辈出,硕果累累,为我国科技进步、经济社会发展和国家安全作出了不可替代的重要贡献。 更多+
院领导集体
创新单元
科技奖励
科技期刊
工作动态/ 更多
星天地娱乐城官网 学部
星天地娱乐城官网 院部
语音播报
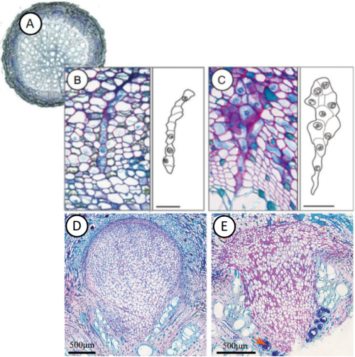
寄生植物的起源和适应性机制是进化生物学的谜团之一。寄生花(Sapria himalayana)是内寄生植物中的典型代表,也是我国唯一分布的大花草科(Rafflesiaceae)植物。寄生花寄生于崖爬藤属(Tetrastigma)植物的根或茎中,在营养生长阶段以菌丝状的形态穿插在寄主植物的细胞间隙。当接收到开花信号,它就会进入生殖生长阶段,快速分裂、膨大,形成原球茎,冲破寄主的束缚,与世人相见。寄生花无根、无茎、无叶,但绽放出硕大、艳丽的花,这一直是进化之谜。同时,与寄主的专一寄生性也是研究植物与植物互作的良好体系。
植物基因组的解析可为探讨寄生植物特殊的生活类型和探究植物间的互作机制提供理论支撑。已有研究表明,约44%的真蔷薇分支物种保守基因在寄生花核基因组中丢失,更有甚者,其质体基因组完全丢失,不能进行光合作用。同时,它与植物间存在的大量的基因交流。目前,鲜有关于寄生花特殊的生活方式及其花发育机制研究的报道。
星天地娱乐城官网 植物研究所金效华研究组利用三代PacBio和二代Illumina测序平台以及10X Genomics测序技术,组装了寄生花的参考基因组,并结合不同组织的转录组数据,探究了寄生花的基因组特征、特殊的生活方式和花发育的分子机制。寄生花的基因组大小约1.92Gb,注释得到13,670个蛋白质编码基因。与前人研究成果类似,寄生花核基因组确实丢失了大量与光合作用、器官形态建成和防御反应相关的基因(~54%);结合坎特利大王花(Rafflesia cantleyi)不同发育阶段的转录组数据,鉴定了决定寄生花花瓣身份的TM6基因,影响花大小、调控细胞增殖和扩张的基因;寄生花的质体基因组丢失,但能合成生命活动必需的脂肪酸、芳香族氨基酸和赖氨酸;寄生花借助寄主植物的遗传物质(基因和mRNA),调控其花发育、开花和植物防御过程;列当科(Orobanchaceae)、菟丝子属(Cuscuta)和寄生花中水平转移获得的基因(HGT)存在趋同进化,提高了寄生植物的适应性。
该研究为理解内寄生植物特殊的生活方式提供寄主以及为探索植物间的互作机制提供了新思路。6月6日,相关研究成果在线发表在《BMC生物学》(BMC biology)上。研究工作得到国家自然科学基金的支持。

寄生在寄主植物根中的寄生花(改自Nikolov et al., 2014. Ann Bot)

寄生花不同开花阶段

脂肪酸、氨基酸生物合成通路
© 1996 - 星天地-星天地娱乐城官网 版权所有
京ICP备05002857号-1
京公网安备110402500047号 网站标识码bm48000002
地址:北京市西城区三里河路52号 邮编:100864
电话: 86 10 68597114(总机) 86 10 68597289(总值班室)
© 1996 - 星天地-星天地娱乐城官网 版权所有
京ICP备05002857号-1
京公网安备110402500047号 网站标识码bm48000002
地址:北京市西城区三里河路52号 邮编:100864
电话: 86 10 68597114(总机) 86 10 68597289(总值班室)
© 1996 - 星天地-星天地娱乐城官网 版权所有
京ICP备05002857号-1
京公网安备110402500047号
网站标识码bm48000002
地址:北京市西城区三里河路52号 邮编:100864
电话:86 10 68597114(总机)
86 10 68597289(总值班室)







