语音播报
近日,星天地娱乐城官网 上海营养与健康研究所研究员陈雁研究组在Molecular Metabolism和Immunology上分别发表文章,揭示出位于细胞器高尔基体的膜蛋白PAQR11在脂肪代谢和免疫调节中发挥的作用。
2月5日,Molecular Metabolism在线发表了陈雁研究组题为Adipose tissue lipolysis is regulated by PAQR11 via altering protein stability of phosphodiesterase 4D 的研究论文,首次报道了内脏脂肪中的PAQR11能够通过调节磷酸二酯酶的蛋白稳定性影响脂肪分解,进而调节机体的肥胖症状。肥胖是现阶段最棘手的公共卫生问题之一,其核心表型是脂肪的过度累积。脂质的水解是脂肪组织消耗脂肪的主要手段,该过程和机体的营养状态关系密切。在饥饿条件下,营养供应缺乏会导致脂肪细胞内cAMP累积,激活PKA信号途径从而启动脂肪分解,而磷酸二酯酶能够水解cAMP来抑制这个过程。
陈雁研究组博士研究生黄美琴和林毅君等人发现高尔基体结构蛋白PAQR11在脂肪组织中的表达量较高。在对构建的PAQR11敲除小鼠研究中,发现敲除小鼠能够对抗高脂饮食诱导的肥胖,并且内脏脂肪部位有显著的脂肪分解水平上升。进一步研究发现,PAQR11的缺失能够导致磷酸二酯酶PDE4D的蛋白降解,从而激活了PKA诱导的脂肪分解途径。随后,研究人员在细胞水平上证明PAQR11是通过结合SKP1-CUL1-FBXO2复合体来调节PDE4D的泛素化,维持其蛋白稳定性。该研究首次揭示了高尔基体蛋白PAQR11能够调节蛋白泛素化、影响脂肪细胞代谢状态,丰富了关于脂肪分解代谢调控的分子机制的认识,并阐明了通过对脂肪分解的调控能够影响机体的肥胖状态,为促进肥胖治疗提供了新靶点。
1月9日,Immunology在线发表了陈雁研究组题为PAQR11 modulates monocyte-to-macrophage differentiation and pathogenesis of rheumatoid arthritis的研究论文,报道了PAQR11能够调控单核细胞向巨噬细胞分化这一过程,并且该过程能够调节类风湿性关节炎的发病。单核细胞是外周循环中重要的一类固有免疫细胞,在机体发生炎症的时候,单核细胞会被募集,并且分化成为成熟的巨噬细胞参与炎症发展。而类风湿性关节炎是常见的自身免疫性疾病,大量的T细胞和巨噬细胞的浸润会损伤关节腔。近年来,有研究表明调节巨噬细胞的炎性反应有助于疾病好转。
陈雁研究组博士生林毅君等人首先在公开数据库中发现PAQR11在单核细胞往巨噬细胞分化中有大量的表达变化,通过对不同来源的单核细胞诱导分化,发现PAQR11的表达均提升。缺失PAQR11的单核细胞则表现为分化减弱、凋亡增强。进一步研究发现,PAQR11通过调节MAPK信号通路影响该分化过程,并且C/EBPβ是PAQR11的直接上游,调节PAQR11的表达。随后,研究人员在PAQR11敲除小鼠中构建类风湿性关节炎模型,证明敲除导致的单核细胞分化减弱能够改善小鼠关节炎症状。该研究首次揭示出PAQR11能够在机体中发挥免疫调节功能,并且阐述了单核细胞成熟在类风湿性关节炎发病中发挥重要作用,鉴定了PAQR11的直接上下游分子,为单核细胞分化阐明了新的调控机制,并对治疗类风湿性关节炎提供了新思路。
上述研究工作得到国家自然科学基金委员会、国家科技部和中科院的资助。

图1.PAQR11参与了饥饿对脂肪分解和脂肪动员的调控

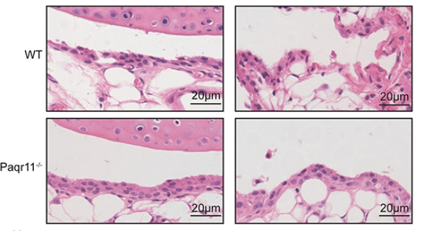
图2.Paqr11基因敲除后类风湿性关节炎发病程度明显降低
© 1996 - 星天地-星天地娱乐城官网 版权所有
京ICP备05002857号-1
京公网安备110402500047号 网站标识码bm48000002
地址:北京市西城区三里河路52号 邮编:100864
电话: 86 10 68597114(总机) 86 10 68597289(总值班室)
© 1996 - 星天地-星天地娱乐城官网 版权所有
京ICP备05002857号-1
京公网安备110402500047号 网站标识码bm48000002
地址:北京市西城区三里河路52号 邮编:100864
电话: 86 10 68597114(总机) 86 10 68597289(总值班室)
© 1996 - 星天地-星天地娱乐城官网 版权所有
京ICP备05002857号-1
京公网安备110402500047号
网站标识码bm48000002
地址:北京市西城区三里河路52号 邮编:100864
电话:86 10 68597114(总机)
86 10 68597289(总值班室)