星天地

 
English | 繁体 | RSS | 网站地图 | 收藏 | 邮箱 | 联系我们
主页 新闻 机构 科研 院士 人才 教育 合作交流 科学普及 出版 信息公开 专题 访谈 视频 会议 党建 文化
  您现在的位置: 主页 > 科学普及 > 科普文章
男性不育的遗传原因
  文章来源:中国科学报 发布时间:2014-09-26 【字号: 小  中  大   

星天地 

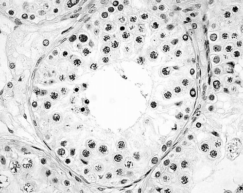
  A

星天地 

  B

  图为人类睾丸组织学图谱。A为精子发生正常的曲精小管;B为精母细胞发育停滞的曲精小管。 

星天地 

  A 

星天地 

  B 

  图为人类精母细胞。A为同源染色体配对联会正常的精母细胞;B为同源染色体配对联会异常的精母细胞。 

  史庆华 

  ●中国科学技术大学生命科学学院教授 

  ●项目首席科学家 

  据2009年中国人口协会公布的《中国不孕不育现状调研报告》,我国育龄人口中不孕不育发生率已从10年前的3%~5%上升到2009年的10%~15%,其中完全由女方因素导致的约占50%,完全由男方因素导致的约占30%,由男女双方因素共同导致的约为20%。男性不育主要源于精子发生出现异常而导致的无精子症或少、弱、畸形精子症。

  精子发生是系统工程 

  人类精子发生起始于胚胎发育早期,由如下一系列生殖细胞发育过程组成:

  1.原始生殖细胞的特化、迁移、增殖及分化形成性原细胞:在人类胚胎发育早期,近端上胚层体细胞在周边细胞特定的信号诱导下特化形成原始生殖细胞,并向性腺迁移。在迁移的过程中及到达性腺后,原始生殖细胞进行有丝分裂以增加其数目,之后,停止分裂并分化形成性原细胞。

  2. 青春期前睾丸中性原细胞的活化、精原干细胞的形成和增殖:在青春期前,位于睾丸精小管中的性原细胞恢复分裂能力,通过分裂和分化形成精原干细胞。精原干细胞向精小管基底部迁移并最终附着在精小管基底膜上。

  3. 成年睾丸中精原干细胞增殖并分化形成精原细胞、精原细胞启动减数分裂形成精母细胞、精母细胞完成减数分裂形成精细胞、精细胞分化生成精子:一般认为,精原干细胞进行不对称分裂,形成两个子细胞,其中一个仍然维持干细胞的活性,另一个则分化形成精原细胞;精原细胞通过有丝分裂增加其数目,并在此过程中,逐渐分化获得启动减数分裂的能力;精原细胞一旦启动减数分裂,即被称为精母细胞。减数分裂包括一系列复杂而又受到精确调控的细胞活动,如分裂前期同源染色体的识别、配对、联会与交换,分裂后期同源染色体和姐妹染色单体的分离。只有这些细胞活动准确、依序进行,才能形成正常的精细胞。之后,精细胞经历染色体重新包装、顶体发生和细胞质丢失而最终形成带有尾巴的精子。

  从大概14岁开始,人类的睾丸就开始并一直不停地产生精子,40岁后,生精能力逐渐减弱。精子发生过程对温度较为敏感,正常情况下,睾丸中的温度比体温低1.5℃~2.5℃,如过高,则会干扰精子的发生。

  精子发生是一个连续的漫长过程,从精原细胞发育到精子约需74天,其中任何一步出现异常,都可能导致精子不能生成(无精子症),或生成的精子数目偏少(少精子症)、质量低下(如畸形精子症、弱精子症等)。

  精子发生异常的遗传因素——染色体异常 

  研究表明,精子发生障碍与染色体异常有关, 如精子密度大于1千万/毫升的患者,其染色体异常的发生率约为0.4%,精子密度介于0.5千万~1千万/毫升的患者,染色体异常的发生率为4%,精子密度少于5百万/毫升的患者,染色体异常的发生率为8%,无精子症患者中,染色体异常的发生率高达15%。与精子发生障碍相关的染色体异常主要包括:

  第一,性染色体数目异常:常见的性染色体数目异常包括47,XXY和47,XYY。研究表明,所有的47,XXY患者都不育,其中74%的患者表现为无精子症,30%~69%的患者睾丸组织中可见到少量精子。有趣的是,在这些患者有精子发生的精小管中,其生殖细胞的性染色体组成正常,而支持细胞则显示为XXY,提示生殖细胞X染色体数目异常是精子发生障碍的致病原因。进一步的研究表明,X染色体增多会导致睾丸发育停滞,或精原干细胞退化。

  与47,XXY患者不同的是,大多数47,XYY患者可育。我们对这类患者的研究表明,其生殖细胞中Y染色体数目正常,提示Y染色体在减数分裂前被丢失。更为有趣的是,我们最近发现一例47,XYY患者,其精液和睾丸中都没有精子;对其精母细胞的染色体组成进行研究,发现其中存在两条Y染色体,而且两条Y染色体像常染色体一样配对、联会甚至重组,从而干扰了其与X染色体的联会和重组,最终导致精子发生障碍。

  第二,染色体结构异常:在不育患者中,最常见的染色体结构异常为相互易位。在减数分裂前期,易位染色体往往不能完全配对、联会,以致其DNA断裂不能修复,而未联会的染色体区段又常常与性染色体相连。进一步的研究提示,染色体易位可能通过多种机制干扰精子发生,如易位断裂破坏了精子发生所必需的基因;或易位染色体未联会区段上精细胞发育必需基因的失活;或易位染色体上未修复的DNA断裂激活了DNA损伤检验点,导致生精细胞被清除;也可能,易位染色体未联会的区段与性染色体的结合破坏了性泡的功能,导致减数分裂异常,以致精子不能生成。不同的易位携带者,其精子发生异常的机制不同,因此,只有对每位患者进行减数分裂分析,才可阐明其不育的发病机制。

  第三,Y染色体微缺失:早在1976年,Tiepolo和Zuffardi就认识到Y染色体长臂上的微小缺失与无精子症发生有关。之后大量的研究表明,不同的Y染色体微缺失对精子发生的影响也不同。如AZFa缺失导致睾丸中生殖细胞完全丢失,AZFb缺失的患者表现为精子发生停滞,而AZFc缺失的临床表现较为复杂,从无精子症到严重少精子症都可见到。

  显然,男性不育与染色体异常密切相关。因此,想要了解不育症的发病原因,对患者进行染色体核型分析和Y染色体微缺失检测等是非常必要的。

  精子发生障碍的遗传因素——基因突变 

  科学家们估计由遗传因素导致的精子发生障碍约占75%,除去其中少数是由染色体异常引起的,还有很多患者其发病原因尚不清楚。在以小鼠为模型开展的研究中,有400多个基因被证明是精子发生所必需的,其基因失活会导致小鼠精子不能发生或发生减少。这提示,基因变异确实能够导致精子发生障碍。而对人类男性不育患者,科学家做了大量努力,试图在基因水平发现导致精子发生障碍的变异,但迄今发现的致病突变仍然屈指可数。

  究其原因,其一,绝大多数敲除后导致小鼠精子发生障碍的基因,在男性不育患者中还未被研究;其二,大约2300个基因参与了人类精子发生,但对于某一特定基因来说,其突变率可能很低,这就要求研究的病例数要足够多,但迄今绝大多数寻找男性不育致病突变的研究,其检测的病例数都未超过100例;其三,不同类型的不育可能由不同的突变导致,如导致精原细胞发育停滞的突变不一定会导致减数分裂异常,而导致精母细胞减数分裂停滞的突变显然并不影响精原细胞的发育,这就要求在开展寻找精子发生障碍致病突变的研究时,首先要对患者进行分类,但令人遗憾的是,迄今绝大多数这类研究,同时使用了包括无精子症、少精子症等多种类型的患者;其四,某些精子发生障碍可能是多种基因突变的累加效应,而现有的研究每次仅检测一种或很少几种基因,从而导致对致病突变的漏检;最后,众所周知,家系研究是发现和确认致病突变的最佳方案,这对于不育症致病基因的发现也不例外,但遗憾的是很多患者在家人面前对不育病情羞于启齿或尽力隐瞒,以致难以获得其家系成员的DNA样本,无法开展有效的遗传分析,难以找到致病突变。

  在认识到这些问题后,部分研究者开始与临床大夫合作,给不育患者讲解开展遗传分析的必要性,以争取患者及其家人的配合,获得相关样本,开展遗传学和睾丸组织病理学分析,以便尽早找到致病原因,为进一步的对症治疗奠定基础。

  不育患者有望生出自己的孩子 

  人类辅助生殖技术为千百万个不育家庭带来了福祉。然而,还有不少患者,由于其睾丸不能产生精子,而不能依赖现有的人工辅助生殖技术得到自己的孩子。

  随着基因工程技术的发展,特别是最近ZFN、TALENs和CRISP/Cas9的发明,极大地提高了基因编辑的效率,使科学家们能够快速有效地对细胞或动植物的基因进行遗传改造,把突变的基因修正过来。例如,美国科学家利用ZNF技术修改了艾滋病患者T淋巴细胞的CCR5基因,使其获得了抵抗艾滋病毒感染的能力,这意味着“基因编辑技术”有望用于艾滋病的防治。

  再如,华人科学家利用CRISP/CAS9技术,对地中海贫血患者来源的诱导多能干细胞的HBB基因进行了矫正,并成功地把基因矫正后的细胞诱导分化为表达正常β-血红蛋白的造血祖细胞和红细胞,给地中海贫血患者的彻底治愈带来了希望。据此,我们相信,对男性不育患者进行遗传检查,发现导致其不育的基因突变,再利用基因编辑技术对突变基因进行修正,并诱导基因修正的细胞进行减数分裂、生成精子,就能让不育患者生出自己的孩子。

  打印本页 关闭本页
© 1996 - 星天地-星天地娱乐城官网 版权所有 京ICP备05002857号  京公网安备110402500047号  联系我们
地址:北京市三里河路52号 邮编:100864